Hoang Linh Duong
New member
- Messages
- 4
- Reaction score
- 7
- A 67 year old woman with a history of hypertention presented to emergency department at Can Tho SIS hospital with sudden onset of severe headache located in the occiput and radiating to the forehead, associated nausea and vomiting for 6 hours ago.
- On examination, she has neck stiffness with blood pressure of 150/80 mmHg and there were no any neurologic deficits
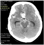
- The head CT show a diffuse subarachnoid hemorrhage was found in the sylvian fissure, basal cistern, concentration on interhemispheric frontal lobe.

- The head angiography CT show only an wide neck aneurysm of the left internal carotid artery( posterior communicating artery segment)

- The cerebral DSA show an ruptured wide neck aneurysm of ACOM artery; two unruptured wide neck aneurysm of the left internal carotid artery (posterior communicating artery and ophthalmic artery segment).
- An ruptured wide neck ACOM aneurysm treated with stent SILK V 2.75x15 from A1 to A2 of left ACA across ACOM artery. After that coils were deployed over a microcatheter from right ACA into ACOM artery across the neck of the ruptured aneurysm.


- The head CT after 18h of intervention show no futher bleeding

- After 2 days of treatment, the patient has good contact, stable vital signs, no focal neurological signs, and reduces headache.
- She has a full recovery and was discharged home after 6 days.

Attachments
-
333.4 KB Views: 0
-
98.2 KB Views: 0
-
78 KB Views: 0